歯周病


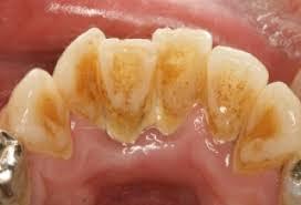
画像: 茶色く着色しています。歯と歯茎の境目に歯石が沈着しています。歯茎が炎症して赤く腫れています。
★保険適用となる「歯のクリーニング」は歯周病と認められた歯ぐきの治ゆを目的とするもので、すべての歯を2回以上に分けて行うものと定められています。
詳細:図1
右上臼歯 上前歯 左上臼歯
右下臼歯 下前歯 左下臼歯
図1のように、口内を6ブロックに分けたとき1回のクリーニング実施範囲は3ブロックまでと定められています。(保険診療手引きより R7.1月現在)
注意:上記の歯のクリーニングは、歯肉縁上の歯石とりのことをさしています。歯肉縁下の歯石とりは別に規定があります。
※付属

当院では歯周病治療の一貫として、歯面清掃を行っております。ハブラシで取れない頑固な歯の汚れや、着色でお悩みの方はご相談ください。個人差はありますが、タバコのヤニ・紅茶のシブもキレイに落ちます。