歯のクリーニング保険適用外

『歯のクリーニング』料金の保険適用外について

●保険適用となる『歯のクリーニング』は歯周病と認められた歯ぐきの治ゆを目的とするもので全ての歯を2回以上に分けて行うものと定められています。これは従来どおり変わりはありません。

一方で歯の汚れ除去→美容目的や歯周病の予防を目的とした歯のクリーニングは保険適用外となり自由診療扱いとなります。自由診療の歯のクリーニングは歯ぐきの治ゆではなく、歯の汚れを落とすことや予防に主眼をおいたものとなります。

●『歯をキレイにしたい』『1回で汚れがとれるクリーニング』を受けたいというご希望であれば『歯のクリーニング』保険適用外のコースをご利用下さい。

 

★料金表★

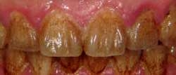
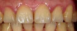
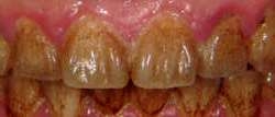
●クリーニングコース (すべての歯)

~キレイな歯のために~ ¥4,500 税込 30分~40分

(歯石とり・ヤニ茶渋とり・フロッシング・PMTC【歯面ケンマ】)

 

●クリーニングコースのオプションメニュー

○ナノアパタイトコート +¥500税込

ナノ粒子のアパタイトで歯の表面を磨き上げ歯の表面のキズを修復していきます。

○フッ素コート    +¥300税込

むし歯になりやすい方。



●ライトコース   (前歯上下 12本のみ)

 ~忙しい方のために~ ¥2,000  税込   20分

(歯石とり・ヤニ茶渋とり・フロッシング・PMTC【歯面ケンマ】)

前歯を急ぎできれいにしたい方におススメコースです。


 

 

 

※注意※

・保険適用外のクリーニングと同日の保険治療はできません。

・予約制です。予約の際には「保険外のクリーニング希望」とお伝え下さい。 

・当院から保険適用外のクリーニングを勧めることはございません。

・詳しくはお問い合わせくださいませ。