ブログ

 

毎日の診療で気がついたこと、診療中では、時間がなくてあまり話せないことなどを書いていきたいとおもいます。

令和3年10月17日(日) 歯のクリーニング

当院には、歯のクリーニング希望の患者さんが、よく来院されます。クリーニング希望の患者さんには大きく分けると2つの系統があります。一つは歯周病のため、定期的なクリーニングをしないと歯肉の健康を維持することが難しい方。もう一つは、さほど悪いところはないけれど、良い状態を保ちたい方です。かつて、歯科治療は、歯が悪くなってどうしても我慢できない状態になってからするものでしたが、現在は悪くしないようにするためのものに変わってきている様に思います。しばらく歯科にいってないので、大丈夫か気になる・・・。そんな理由での受診も受け付けています。もしかしたら、隠れた歯周病が見つかるかもしれません。

令和3年10月14日(水)歯肉縁下歯石

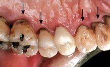
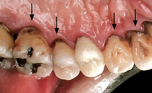
歯周病がなかなか治らない原因、それは、歯肉縁下歯石にあります。右の写真の矢印の所にある  

黒い色の部分です。プラークが血液と結びついて石灰化してつくられます。歯周病菌を多量に含む

病原性の高い歯石です。歯石の周囲から、毒素を放出するので歯肉の炎症やを起こしたり、歯を支える

骨をとかします。歯肉縁下歯石は、固く除去しにくいです。なので、少しずつ取り除いていきます。

 

 

 

令和3年6月22日(火) コロナワクチン接種2回目

昨日の午後、2回目のコロナワクチン接種をしてきました。会場は、前回と同じ宏愛会第一病院です。行ってみると今回は、高齢者の方が多かった。付き添いの人もいて、おそらく高齢者の施設利用の方たちのワクチン接種が進んできている様子です。さて、肝心のワクチン接種2回目ですが、何事もなく終わってしまいました。2回目は副反応がでるよー。ときいていましたが、2日目も大丈夫そうです。ただ、一回目と変わらず接種部位に筋肉痛症状があって、腕が上がりずらいというところです。ほかの職員はどうでしょうか。明日聞いてみようと思います。

令和3年6月16日(水) マスクと口呼吸

マスク生活もだいぶ長くなってきました。マスクをした状態でしゃべったりするのは、すごく苦しいのでついつい口で呼吸してしまいます。この口呼吸ですが、実は、様々な問題をひきおこす恐れがあるとされています。まず、歯科的には、口の中が乾燥してプラークがこびりつきやすくなります。そうすると虫歯や歯周病がふえてきます。子供さんの場合だと、口をポカンと空いてしまっていると姿勢が悪くなり、授業中の集中力に影響が出てきます。また、大人の場合だと、口呼吸は美容の観点から、ほうれい線が深くなり、いつの間にか二重あごになってしまったり。さて、無意識の口呼吸を防ぐにはどうしたらよいでしょうか?口の周りには口輪筋という筋肉があって、それを鍛えることで、口を閉じることができます。具体的には歯磨きの際に口をゆすぐ、ブクブクうがいが有効です。時間は3分間です。最初は、1分位から、試してみるとよいでしょう。口の周りの筋肉がピリピリするようなら、効いている証拠です。

令和3年6月9日(水) 図面・ポスター・標語 作品展

今週の日曜日、太田市イオン二階のホールで太田市教育委員会、太田市歯科医師会、学校保健会主催の、図画、ポスター、標語作品展がありましたので、行ってきました。例年だと、歯科医師会主催の歯の健康フェアと同時開催なりますが、コロナの影響で中止となり、今回は作品展のみの開催となりました。朝の開場の時間より多くの人が来場され、児童、生徒の作品を熱心にみていました。

令和3年6月6日(日) コロナワクチン接種その後

先週のコロナワクチン接種のつづきです。私の診療所では、私以外に女性スタッフが3名ワクチン接種いました。そのうち、ひとりは、当日から翌日にかけて、発熱、もう一人は、次の日から腕が上がらない筋肉痛と腕のしびれ。残りのひとりは、筋肉痛症状でした。しかし、月曜日にワクチンを接種して、土曜日にはみんな元気ですので、一安心です。テレビの報道のとおり、副反応はあるようです。また、個人差があるようです。なんにせよ、一回目の接種は無事に終ってよかった。

令和3年6月1日 (火) コロナワクチン接種

昨日の午後、新型コロナウイルスに対する医療従事者のワクチン接種に行ってきました。会場は、宏愛会 第一病院です。さて、心配していた接種ですが、痛みもなくあっさり終わってしまいました。そして次の日、朝起きたら腕が痛い。上がらないといった症状です。調べてみたところ、約50%の人が筋肉痛症状がでるとのこと。この程度ですんでよかったと思っています。

令和3年5月27日  歯科健診

今日は、診療を休んで、県立太田特別支援学校の歯科健診に行ってきました。一人の生徒に対して、口腔内検査の係、記録係、ライトのかかりと、三人で担当します。嫌がる子もいましたが、先生方の協力もあり比較的スムーズにできました。口腔内はきれいにしている子が多く、先生方や、保護者の熱心さを感じました。ただ、待っていられない子が多いので、スピード感をもって進める事が大切なんだなぁと感じました。

令和3年5月23日(日) コロナと歯周病

先日、日本歯科医師連盟の広報誌がとどきまして、それによると歯周病がある人は、ない人に比べてコロナの重症化の割合が6倍であるとのこと。参議院議員の山田先生の発言です。なぜかは、説明がありませんでしたが、結果は結果としてうけとめるべきで、コロナ渦だからこそ、歯科治療を受けようとのことでした。理由が、分かりましたらここでまた報告したいと思います。

令和3年5月20日(木)  ポスター審査会                                                     

今日は診察を休んで太田市の歯科保険図画・ポスター審査会に行ってきました。小学校低学年、高学年、中学校からそれぞれ、金賞、銀賞、銅賞を選びます。力作ぞろいでしたが、特に中学生のポスターは、秀逸でした。日本のアニメは、すごいといいますが、こういうところから才能が出てくるのかもしれません。

令和2年11月18日(水)  FM太郎出演

昨日、院長がFM太郎に出演しました。カミング30について話しました。初めての事でとても緊張しましたが、終わってホッとしました。

令和2年9月16日(水)  ブログ読みにくい

今まで不定期でブログを更新してきましたが、新しいものほど下にいってしまい、読みにくいとのご意見を頂きましたので、今後は、新しいものは上に書いていくようにしたいと思います。体裁がととのいませんが・・・。

令和元年9月7日(土)    歯周病検査

歯石をとる前などに歯茎の状態を調べます。歯茎を器具でつんつんするやつです・・・。正式にはプローブという、メモリのついた器具を歯と歯茎の隙間に

そーーっと差し込んで歯周ポケットの深さを調べます。歯周ポケット4mm以上は、歯周病と判定されます。ちなみに 歯周ポケット4mmは、軽度歯周病。

6mmは、中等度歯周病。8mm以上は、重度歯周病となります。

歯周病検査をするときは、数値を読み上げるので、、ポケットの深さをよく聞いていてもらうと、悪いところがわかると思います。

 

令和元年9月9日(月)   糖尿病

先週の土曜日、19時から群馬県歯科医師会主催の糖尿病の研修会に行ってきました。

糖尿病には、足のしびれや、網膜症、腎賞、脳梗塞、心筋梗塞などさまざまな合併症があり、歯周病もそのひとつです。

現在も、糖尿病の患者さんが、歯周病のチェックに当院にも来院されますが、逆に口腔内所見から、糖尿病が疑われる患者さんに、内科受診をすすめるのも歯科の仕事として大切とのことでした。

 

令和元年9月12日(木)     初診、急患のこと

初診と急患のことは、時々聞かれるので書きます。初診と急患は、随時受付ています。電話にて連絡をお願いします。その際に現在の状況を詳しくはなしていただけると、治療がスムーズに進みます。できるだけ、空いている時間を案内して、お待たせしないように心がけていますが、予約の患者さんがいる場合には、お待ちになることもございます。

急患  午後の受付は18時まです。18時までに受付をすませた方は、できるだけ対応をするようにしています。

 

令和元年10月18日(金)      ソニッケアー

今週の水曜日、音波歯ブラシ、ソニッケアーの説明をききました。株)モリタの澤田による診療所での、出張セミナーです。今のソニッケアーは、過圧防止センサーや、スマホのアプリで磨き残しを教えてくれたり、かなり進化していました。また、実際に使用体験をさせてもらいましたが、歯みがきした後の、歯のツルツル感が、すばらしいです。歯ブラシがどうしてもうまくいかない人は、むしろソニッケアーにまかせてしまったほうがよいのでは?と思いました。なんせ、歯に当てるだけでよいのですから。また、ソニッケアーは、本体と歯ブラシが別売りになっていて、個人、個人にあった歯ブラシを医療側が選択するシステムとのことでした。

令和元年10月24日(木)    日本糖尿病協会登録歯科医証

先日、更新の手続きをした、日本糖尿病協会登録歯科医証が届きました。次回の更新は、五年後になります。

令和元年11月23日 (日)    毛里田中学学校保健委員会

昨日、診療を休んで、毛里中の第一回学校保健委員会に行ってきました。話題は、近眼と肥満について。現代人らしいなぁと思いました。

令和元年12月4日(水)    WEB予約

WEB予約はじめました。さしあたり、2週間先まで、予約できるようにしてあります。緊急の場合、二週間以上先の予約を取りたい場合はお電話にて承ります。  もちろん、従来どうり、診療時間中は、電話での予約も受け付けております。

令和元年12月8日    スポーツマウスガード

ラグビーの人気のためか、時々問い合わせがあります。当院でも、取り扱っておりますが、どうしても費用の部分で折り合いがつかないです。自費となるため、値段は、歯科医院によってまちまちです。安い価格設定にするために、医院内で先生が作っているという話もききます。しかし、私は、プロの技工士に作ってもらったほうが出来がよいように思います。当院では、技工所さんと相談して、値段をさげることができないか調整しているところです。話がまとまったらまた、報告したいと思います。

令和2年4月23日   歯ブラシを嫌がる子供にレノビーゴ

市の、1歳6ヶ月健診や2歳児健診にいくと(今はコロナの影響で健診は、中止になっていますが)、ママさんたちから、うちの子、歯ブラシをしようとするとすごく嫌がるのですが・・・。押さえつけて、歯ブラシしているのですが・・。などの相談を受けます。私は「だんだんと慣れてきますから大丈夫ですよ。」とお答えしますが、何かよい手は無いものかと・・・。

そんな折、1歳の子供のママさんから、レノビーゴを使うようになってから歯ブラシを嫌がらなくなりまし。との話をききました。

レノビーゴは、フッ素のスプレーで、乳歯一本から使用可能です。おそらく、レノビーゴのほのかな味が、1歳の子供の好きな味なのかなぁと思います。当院でも取り扱っています。

毎日の、歯ブラシに慣れるための助けになればよいなぁと思います。

令和2年4月26日  ゴールデンウイーク前の対応

新型コロナウイルスの拡大は、この1~2週間が勝負との報道があり、歯科の方でも治療内容を緊急処置や応急処置、生活に支障があるものへの対応と治療内容を切り替えているところです。ゴールデンウイーク前で、歯のトラブルでお困りの場合には、当院まで電話にてお問い合わせをお願いします。また、当院では、ネット予約もできますので、WEBから空き時間等の確認もできますので、ご活用下さい。

令和2年6月23日 歯と歯の間、それが重要です。

当院では、年に2回~4回の定期クリーニングをお勧めしています。患者さんが来院された折、口腔内を見せてもらうと、歯の表面はきれいに磨けているのに歯と歯の間は、磨けておらず、歯垢が付着しているケースをたびたび見かけます。歯と歯の間はむし歯や歯周病の好発部位で、ここの歯垢を取り除けるかどうかが、予防の勝負の分かれ目といえます。歯周病の治療の際も同様です。一方、歯と歯の間を磨くには、歯間ブラシや、デンタルフロスを使いますが、これが少し難しい。こつがいります。そんなことから、当院で、歯のクリーニングを施術する際には、歯と歯の間を特に念入りにキレイにするようにしています。

令和2年6月26日 先生、歯が痛いんです!!  それは歯髄炎(しずいえん)。

先日、初診の患者さんが、来院されまして「歯が痛いんです。」との事。どんな時に痛みますかとお聞きしたところ、「今です!!」との返答。口腔内を確認したところ奥歯に大きなむし歯が。歯髄炎です。即日、神経の治療を始めました。むし歯が、歯の神経まで達すると、神経が炎症を起こします。これが歯髄炎です。歯髄炎の主な症状は、①何もしなくても痛い。②冷たいもの、熱いものがかなりしみる。③就寝時や、お風呂に入ったとき痛む。などです。そして、歯髄炎を放置しておくと、神経が細菌感染して、歯茎が腫れてくることもあります。こうなると、治るのに時間がかかって、苦労します。大きなむし歯があって、痛みを我慢している方。その歯は歯髄炎かも知れません。自然にはなおりません。ひどくなる前に適切な処置を受けることをおススメします。