
★歯周病の原因は、歯と歯ぐきの隙間(歯周ポケット)に歯周病菌が増殖して作られるプラーク(歯垢)です。歯の周りのプラークを取り除いて清潔な状態を保てば、歯周病の進行を抑えることができるのは、科学的に証明されています。
しかし、毎日歯磨きをしているのに歯周病のために歯がぐらつき、抜けてしまう人が多いのはどうしてでしょうか。
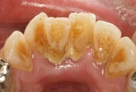
歯ブラシでプラークを落とせるのは歯周ポケットの入り口付近だけなのです!歯石は硬いためブラッシングで落とすことはできません!
歯磨きで落とせない歯周病の原因菌を取り除くためには、歯科医院で専用の器具を用いたプロフェッショナルケアが必須となります。3ヶ月ごとに歯科医院でメンテナンスを受け続けた患者さんたちは10年経っても平均して一本未満の歯を失っただけであることが北欧で行われた研究で確認されています
。
生涯ご自分の歯でおいしく食事をして明るく過ごすために、1年に4回歯科医院 で定期的な歯のクリーニングをお勧めいたします。