治療方針

保険内の治療を主に行っています。

当院では保険内の治療を主に行っています。歯科の治療は高い・保険内の治療と保険外の治療の区別が分かりづらい・等の声を多く伺ってきました。当院ではどなたでも安心して受診できるように保険内の治療を前提に治療しています。

また、保険内の治療を前提としていますが、付加価値をつけた保険外の治療にもできるだけ対応致します。その際には十分な話し合いの上治療を進めさせていただきます。


●保険内治療全般

特に申し出がなければこちらの治療になります。

詳細:う蝕(むし歯)治療・歯周病治療・前歯レジン前装金属冠。臼歯金属冠・取り外し式入れ歯・抜歯(簡単なもの)・乳幼児う蝕薬物塗布・CAD/CAM冠・ナイトガード

●保険外治療

詳細:ホームホワイトニング・スポーツマウスガード・その他(お気軽にお問い合わせ下さい)

 

 

○入れ歯

当院では取り外し式の入れ歯治療に取り組んでいます。しかしながら、入れ歯を新しく作ったその日からなんでも食べることができるということはまずあり得ません。患者様自身の慣れと歯科医師による数回の調整は、必要不可欠であると考えています。健康保険適用。

 

 

 

 

○CAD/CAM冠

当院ではCAD/CAM冠と呼ばれるコンピュータ支援設計・製造ユニットを用いて作製される冠の治療を行っています。健康保険適用。

2020年9月に、上下前歯の単冠が保険収載されました。また、2024年6月の保険改正で前歯から※第2大臼歯までのCAD/CAM冠の単冠が保険適用となりました。

※大臼歯の保険適用には条件があります。

 

 

 

 

○ナイトガード(マウスピース)

就寝時の歯ぎしりが予想される時に使用します。夜中、家族に『歯ぎしりがうるさくて眠れない』などと言われている方。ご自分で『自分の歯ぎしりの音で目が覚める』『最近歯がすり減ってきた』などと感じている方はご相談下さい。歯型を取らせていただいて、患者様一人一人に合ったマウスピースを作製します。ひどい歯ぎしりの場合には破損することもあり、その場合には再製作となります。健康保険適用。

 

 

○光CR充填

光CR(白いつめる材料)を使用した、むし歯治療に取り組んでいます。健康保険適用。

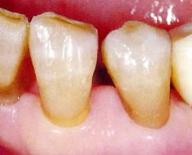
右:歯の根元の茶色の部分がむし歯です。

左:患者様の歯の色に合わせたCRで充填しました。