歯周病対策にマウステープ
歯周病や歯肉炎の予防、対策といえば何が思い浮かびますか?
丁寧な歯磨き、定期受診、はとても大切ですが「口呼吸をしない」という対策を挙げる人はほぼ皆無だと思います。
しかし、実はこれが最も単純で有効な方法なんです。
コロナ渦では、感染予防のため私たちはマスク生活を余儀なくされました。マスクをしていると空気の通り道を邪魔
するので、鼻呼吸をしづらくなります。その為、知らず知らずのうちに口呼吸になってしまいます。
現在、マスクを外して生活できるようになっても口呼吸が癖になって習慣化している人が多数みうけられます。

口呼吸をすると口の中は乾燥し、唾液が少ない状態になります。そうなると、唾液による殺菌、消毒作用が働きにくくなり歯の表面や歯と歯肉の境目にネバネバしたプラークがつきやすくなります。プラークは細菌の塊で取り除かないとやがて歯石になります。
歯石は下の歯の裏側の歯の根元につきやすいのですが、口呼吸があるとそれに加えて唇側の歯の根本にもつきやすくなります。
口呼吸をすると、乾いた空気が直接、前歯の表面に当たり歯石がつきやすくなるからです。歯石は歯ブラシでとることはできないので
歯科医院での治療が必要になります。
結果として、口内には歯周病菌が増殖し歯肉の炎症がが引き起こされます。
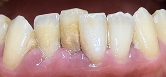
下画像1
唇側に歯石の付着 歯肉の腫れあり

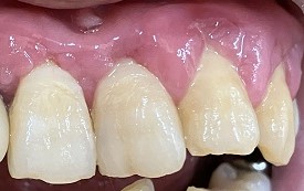
下画像2
歯肉の腫れ 初期むし歯あり(白濁)
口呼吸が習慣化すると、様々な病原体が口から侵入しやすくなります。しかも、口の中は唾液が少なく乾燥しているので病原体は繁殖しやすい環境です。すると、これらを迎え撃つために喉のリンパ(扁桃リンパ組織)に顆粒球という白血球の一種が集まってきます。
しかし、困ったことに顆粒球には病原菌だけでなく、常在菌とも反応する性質があります。常在菌とは、病原性を示さない細菌で、多くの人の
身体に共通して存在します。ビフィズス菌、乳酸菌、ブドウ球菌などで、口腔内にも存在します。
常在菌がいる粘膜に顆粒球が急増すると、激しい反応をおこし化膿性の炎症がおこります。口腔内では、
重度の歯周病がおこりやすく、独特の口臭があります。また、他に全身疾患を持っている場合が多いです。
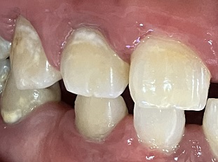
下画像3
重度歯周病 強い歯肉の腫れ

ここまで、歯周病に口呼吸が悪いと説明してきましたが、口呼吸対策はどうしたら良いでしょうか
①起きている時は口を閉じて「鼻呼吸のこころがけ」をしましょう。
鼻呼吸か口呼吸になるかは、舌の位置が重要です。
つばを「ごっくん」と飲んだ時に舌は上アゴにべったりとついています。これが舌の正しい位置でその位置をキープして下さい。
舌が上アゴから離れていると口が開きやすく口呼吸しがちになります。

②睡眠中どうでしょうか
答えは「マウステープをはる」です。
睡眠中は全身の筋肉が緩まり口が開きやすく口呼吸になりやすいです。また、健康な人でも体の代謝がさがり唾液の量が激減します。
これらによって口の中が乾きやすくなり、口腔衛生状態をきちんとたもつことが難しくなり歯周病は悪化します。
では、どうしたらよいでしょうか?口にテープを貼って開かないようにすればよいのです。
マウステープには、いろいろなものがあります。
1.サージカルテープ 2.優肌絆 3.セロテープ など。
どのようなものでもかまいませんが、あまり張り付くのりが強いものは、肌を損傷するおそれがあるため避けてください。
優肌絆がおすすめです。サージカルテープでも代用できます。
マウステープの貼り方は、唇に縦に一本です。5㎝程度。この貼り方ですとセキやクシャミをしたと時に隙間から呼気をにがすので鼓膜を痛めたりすることがありません。軽く唇をふさぐことができればいいのでキツく留める必要はありません。就寝中に自然と剥がれるのは、OK。心理的に不安を感じるなら、起きている間に10分程度テープを貼ってならすとよいです。太いものがよいです。
お肌が弱いというかたは、位置を少しずつズラして貼ったりするとよいでしょう。また、5㎝と3㎝に切ったテープを中央部で粘着面同士貼り付け短いテープの表面を唇にあてて貼ると唇を保護できます。
歯周病対策にマウステープ、ぜひお試しください。
ここまでお読みいただきありがとうございます。
最後に歯科領域でマウステープで改善する症状についてご紹介します。これは、逆に「口呼吸をしている人」でもあります。
自分は口呼吸をしているかもしれない、と自覚してもらうことが大切です。
1 歯周病の悪化
①歯肉が腫れる
②歯肉から血がでる。
③口臭が気になる
④歯にステイン(着色)がつきやすい
2 むし歯が多発する
①歯の根元がむし歯になる
3 口内炎ができやすい
4 口が乾く、ねばねばする。
5 舌がひりひりする。ひびわれている
6 唇がかわいている。唇があれやすい
7 嘔吐反射が強い(口の奥が乾燥して敏感になっているため)
①歯の治療中口に水をためておくことができず、ムセやすい
②歯の型どりがスムーズにできない
③入れ歯が気持ち悪くて入れてられない
私たちは、人生の3分の1は寝ています。おやすみまえの新習慣、マウステープ。お試しください。
切ってはるだけ、とても簡単。睡眠中に口を閉じ、鼻呼吸をうながします。
起きている時は鼻呼吸のこころがけを忘れずに。